診所介紹
服務項目
醫師陣容
案例分享
聯絡我們
最新消息
牙科新知
線上預約
案例分享
CASES
首頁
案例分享
案例治療 | LH矯正案例 - 暴牙美觀改變
VIEW MORE
案例治療 | LH矯正案例 - 戽斗下顎過長
VIEW MORE
案例治療 | LH矯正案例 - 開咬問題
VIEW MORE
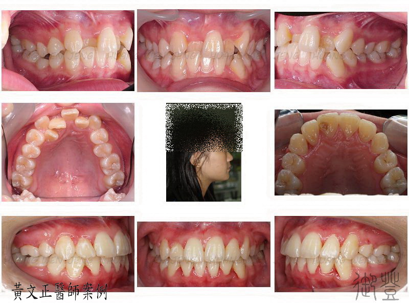
案例治療 | LH矯正案例 - 齒列不整齊
VIEW MORE
案例治療 | LH矯正案例 - 埋伏齒
VIEW MORE
1
2
>