診所介紹
服務項目
醫師陣容
案例分享
聯絡我們
最新消息
牙科新知
線上預約
案例分享
CASES
首頁
案例分享
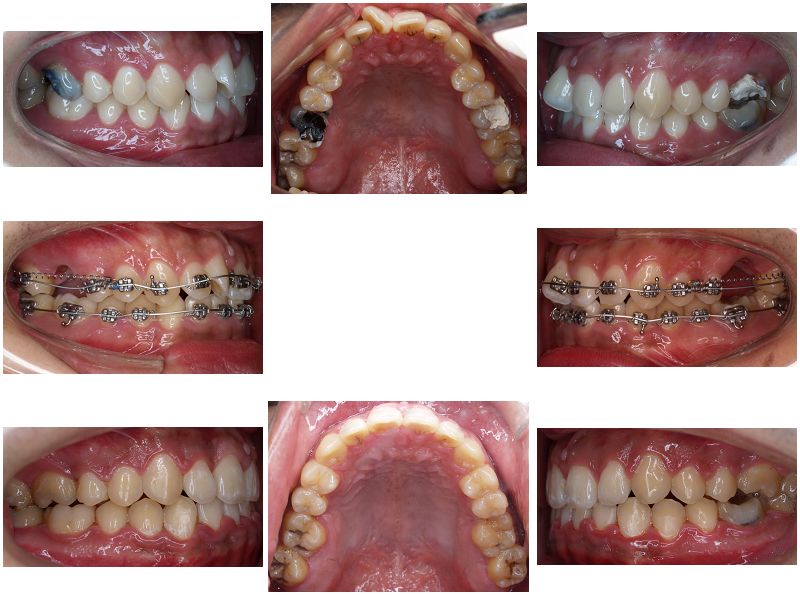
案例治療 | LH矯正案例 - 臼齒缺牙問題
PREV
返回列表
NEXT